トピックス MRI
AI機能の搭載
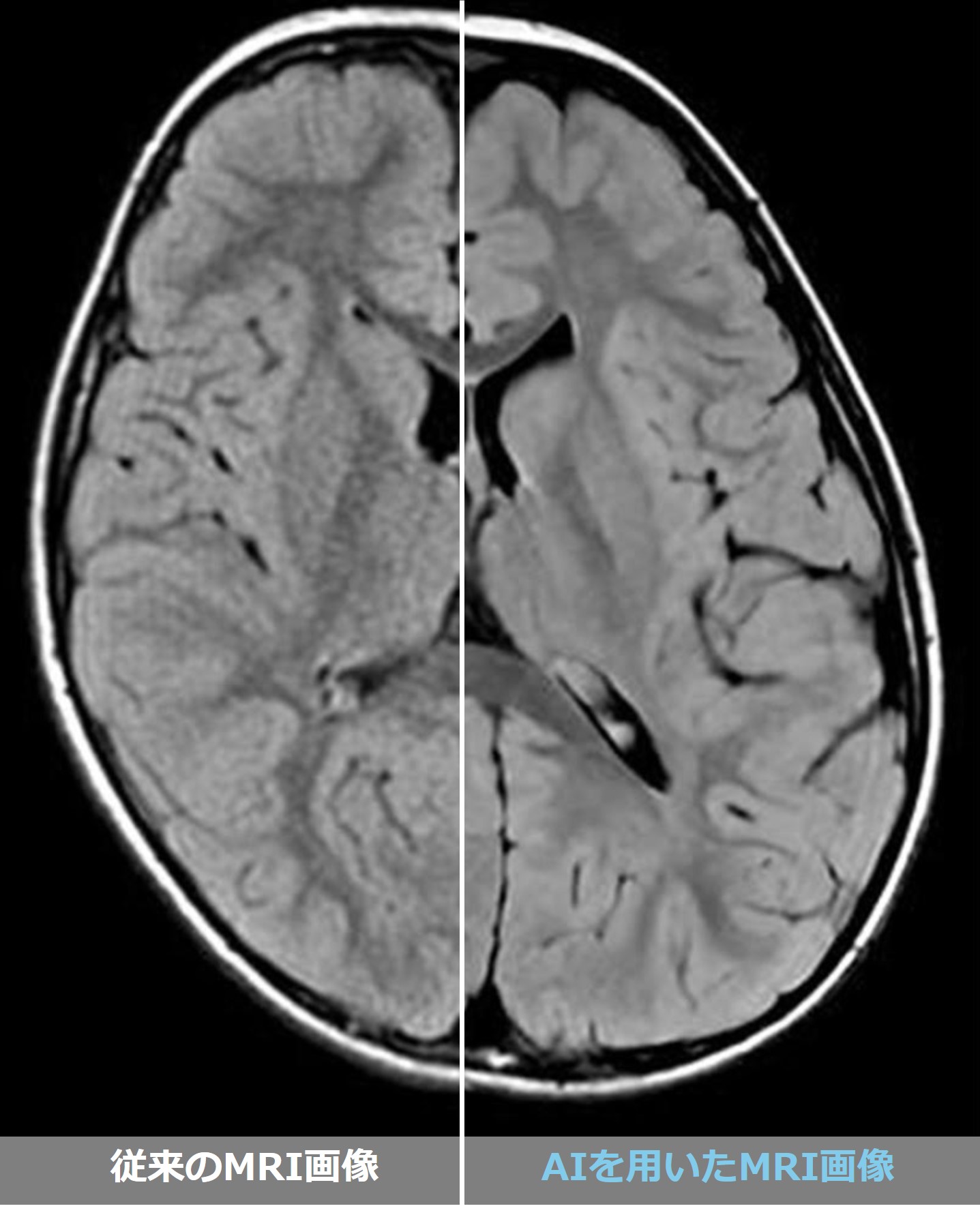
2024年9月、当院のMRIに革新的なAI機能を用いた
アプリケーションを導入しました。
従来のMRI画像と比較して、大幅な画質の向上が
期待できます。
さらに、撮像時間の短縮にも効果を発揮します。
アプリケーションを導入しました。
従来のMRI画像と比較して、大幅な画質の向上が
期待できます。
さらに、撮像時間の短縮にも効果を発揮します。


撮影用機器の導入
2024年9月に新たに導入されたコイルは、非常に軽量かつ柔らかい素材で、より快適な検査を実現しています。
よって、患者さまの負担の軽減や高画質な撮像が可能となりました。
よって、患者さまの負担の軽減や高画質な撮像が可能となりました。
